Carillas Dentales en Ferrol
Tratamientos
de estética carillas
En CDPA te ofrecemos carillas dentales personalizadas para mejorar forma, color y armonía de tu sonrisa con resultados naturales y duraderos.
En CDPA cuidamos la estética dental: trasformamos sonrisas con carillas dentales en Ferrol
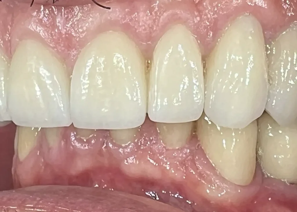
Las carillas dentales son láminas extremadamente finas de cerámica o composite, que se colocan sobre la superficie visible de los dientes para mejorar su apariencia.
Nuestra clínica pertenece al exclusivo club que implementa el sistema DSD: Dental Smile Design o Diseño Digital de la Sonrisa. Podrás sentir tu sonrisa antes de iniciar el tratamiento y comprobar que tus expectativas se vean cumplidas con nuestro tratamiento de carillas dentales en Ferrol.
estética dental
¿Cuál es su función?
Las carillas dentales son láminas extremadamente finas de cerámica o composite, que se colocan sobre la superficie visible de los dientes para mejorar su apariencia.
Con nuestra simulación digital 3D nuestros pacientes pueden ver de manera anticipada cuál será el resultado de su tratamiento.
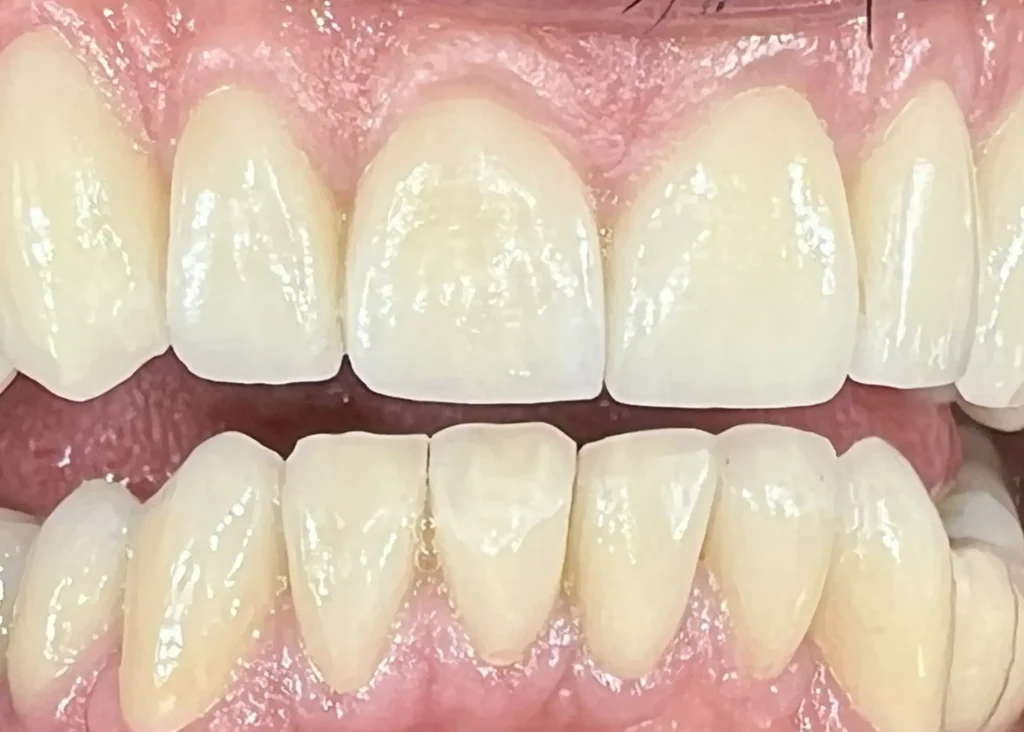
En Clínica Dental Patricia Aneiros con las carillas de porcelana hemos conseguido devolver la estructura perdida al diente gastado, su color y juventud inicial.
Tipos de carillas dentales
Existen diferentes tipos de ortodoncia para corregir las distintas maloclusiones que encontramos en nuestros pacientes ya sean niños, adolescentes o adultos de cualquier edad.
estética dental
Carillas de porcelana
Las carillas de porcelana son unas finas láminas que se esculpen manualmente y a medida para ti. Se fabrican a partir de un modelo de tu boca para que el resultado sea perfecto.
estética dental
Carillas de composite
Las carillas dentales de composite se fabrican con una resina biocompatible de un color igual al de los dientes naturales y que se une de forma permanente a tu dentadura.
Procedimiento
¿Cómo se ponen las carillas dentales?
Preguntas frecuentes
Integramos la más alta tecnología y técnicas mínimamente invasivas.
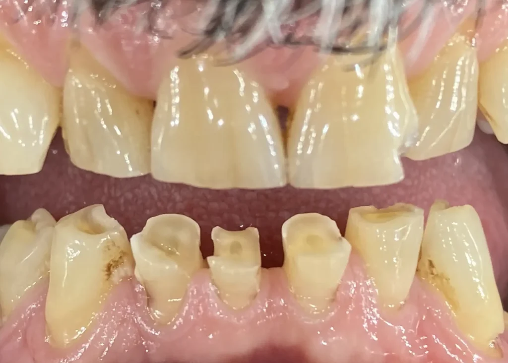
Casos clínicos de carillas dentales en CDPA
Han confiado en nuestra clínica el cuidado de su sonrisa.
Porque nuestro compromiso contigo es para toda la vida.
Nos puntúan con un 4,9 en nuestra página de google.
El blog de Clínica Aneiros. Salud para tu día a día.
En el blog de Clínica Aneiros compartimos consejos, información y novedades para ayudarte a cuidar tu salud bucodental en cada etapa. Hablamos de prevención, tratamientos, tecnología y cuidado diario desde una odontología cercana, mínimamente invasiva y pensada para proteger tu sonrisa a largo plazo.





















