Ortodoncia invisible en Ferrol
Tratamientos
de ortodoncia invisible
En CDPA corregimos la alineación dental con Invisalign, una ortodoncia discreta y cómoda basada en alineadores transparentes. Tras un diagnóstico completo, planificamos tu tratamiento de forma personalizada para mejorar estética y mordida.
En CDPA te transformamos tu sonrisa con ortodoncia invisible: transparente, efectiva y revolucionaria.
En Clínica Dental Patricia Aneiros, además de la ortodoncia convencional con brackets, nuestros pacientes podrán elegir la ortodoncia invisible que, como tratamiento de vanguardia, ha experimentado un crecimiento exponencial mundial en los últimos 10 años. Las Dras. Marta Mata y Patricia Aneiros, de nuestro equipo, son expertas en este ámbito.
ORTODONCIA INVISIBLE
¿En qué consiste?
La ortodoncia invisible o Invisalign Ferrol es una técnica de ortodoncia basada en alineadores transparentes, mediante la que se pueden mover y recolocar las piezas dentales tras realizar una predicción a través de un sofisticado software de tecnología 3D que escanea la boca del paciente.
Cada alineador realiza su trabajo de movimiento dental en 10 días y se irá recambiando periódicamente hasta finalizar la secuencia de alineadores y obtener el resultado final. Los avances son visibles desde las primeras semanas.
Alineadores de Invisalign Ferrol
El proceso de aplicación del gel enzimático en la cavidad de la muela es una técnica simple y rápida sin necesidad del uso de instrumentos ruidosos y sin anestesia.
ORTODONCIA INVISIBLE
¿Cómo deben emplearse para un correcto resultado?
ORTODONCIA INVISIBLE
Ventajas de Invisalign
Preguntas frecuentes
Integramos la más alta tecnología y técnicas mínimamente invasivas.
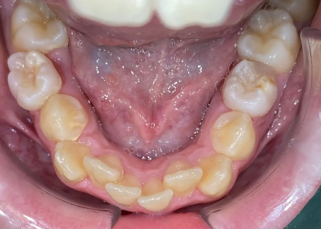
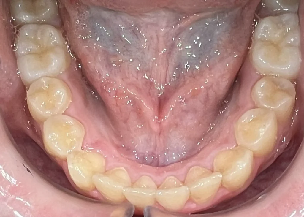
Casos clínicos de ortodoncia en CDPA
Han confiado en nuestra clínica el cuidado de su sonrisa.
Porque nuestro compromiso contigo es para toda la vida.
Nos puntúan con un 4,9 en nuestra página de google.
El blog de Clínica Aneiros. Salud para tu día a día.
En el blog de Clínica Aneiros compartimos consejos, información y novedades para ayudarte a cuidar tu salud bucodental en cada etapa. Hablamos de prevención, tratamientos, tecnología y cuidado diario desde una odontología cercana, mínimamente invasiva y pensada para proteger tu sonrisa a largo plazo.























